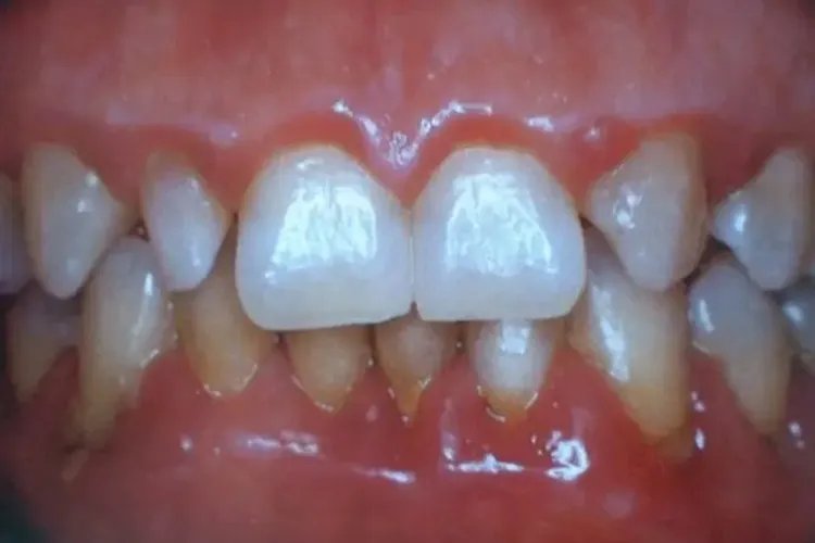
概述牙周病是发生在牙齿支持组织的感染性疾病,牙周膜及牙槽骨慢性进行性破坏,出现牙龈炎症、出血等。正常牙齿不会出现此类情况。症状牙周病与正常牙齿在形态、数目、咬合关系等方面都具有不同程度的改变。正常牙齿人体正常牙齿数目、形态均正常,上下颌咬合关系和排列无紊乱和倾斜,牙龈无脓肿、增生、萎缩等,牙齿为正常颜色,略带淡黄色。

牙周病发生牙周病后,会出现牙龈炎症、出血、牙周袋形成、牙周脓肿、牙槽骨吸收、牙槽骨高度降低,并且牙齿松动、移位、咀嚼无力,严重者牙齿可自行脱落造成牙齿的缺失,剩余牙支持力差。还可伴有疼痛、溢脓、口臭等并发症。


病因正常牙齿为正常状态,而引起牙周病的因素较多,局部因素包括菌斑、牙石、咬合创伤等;全身性因素包括免疫功能异常、遗传、全身性疾病等。其中,菌斑和细菌是最直接的致病因素。治疗正常牙齿无需治疗,平时注意保持牙齿健康,按时刷牙、定期洗牙即可。而牙周病要积极治疗,应进行牙周基础治疗,其主要目的是消除始动因素-菌斑与牙结石,主要方法是龈上洁治,龈下刮治,根面平整,抛光等。基础治疗去除菌斑之后,可加入药物配合治疗,有助于牙周炎症消退,恢复健康,牙槽骨炎症吸收停止,从而使患牙松动度得到改善。
