概述牙齿变黑的原因有色素沉着引起的外源性因素,龋齿、根尖周炎等疾病因素。牙齿变黑后需根据原因选择改善方法。症状牙齿变黑的原因包括多种外源性色素沉着与内源性疾病因素,外源性色素沉着以烟草色素沉着为例,内源性疾病以龋齿、牙釉质发育不全为例。烟草性色素沉着烟草性色素沉着会在牙齿表面出现黄褐色至黑褐色的色素沉淀,且色素沉着的程度与吸烟时间、吸烟量成正比。

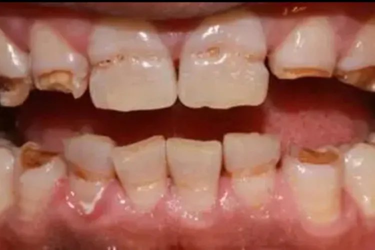
龋齿深度龋齿进展到牙本质深层,可观察到明显的龋齿洞,患者遇冷、热、酸出现敏感症状。发生在点隙沟裂处的深度龋齿,墨侵样改变的范围较大。

牙釉质发育不全牙釉质发育不全表现为牙面横纹明显,表面较疏松粗糙,这种釉质的渗透性高,外来色素沉着,容易呈黄褐色。严重者牙表面出现实质性缺损,出现带状、窝状,整个牙面呈蜂窝状,色素沉着后,表现为牙齿变黑。

病因烟草性色素沉着烟草性色素沉着是由于长期吸烟所引起的,烟雾中所含的煤焦油可沉积在牙釉质表面,使牙齿变黑。龋齿龋齿源于牙表面的牙菌斑。寄存在口腔中的细菌将食物残渣分解为糖的过程中产生酸,酸长时间在牙齿表面会破坏珐琅质,从而使牙齿变黑。牙釉质发育不全牙釉质发育不全是指在牙齿的发育期间,由于全身性疾病、营养不良和严重的乳牙根尖周炎感染等原因,导致釉质结构发育障碍,造成牙釉质矿化不良甚至出现实质缺损,使牙齿变黑。治疗烟草性色素沉着结合吸烟史和临床诊断。戒烟后6-36个月牙色素可减退或消失,即牙齿变黑情况缓解。龋齿龋齿可清除牙体已破损部分后使用填充物,包括合金、树脂、陶瓷,加以填充,从而减少牙齿变黑,严重者需合并根管治疗。牙釉质发育不全有激发痛者可用药物脱敏,缺损明显者可行充填术,前牙可用复合树脂填充、贴面法等进行修复,缓解牙齿变黑的问题。
