五五AIGC

  • 网站首页
  • 百科知识
  • 百科问答
  • 生活百科
位置:首页> 生活百科>

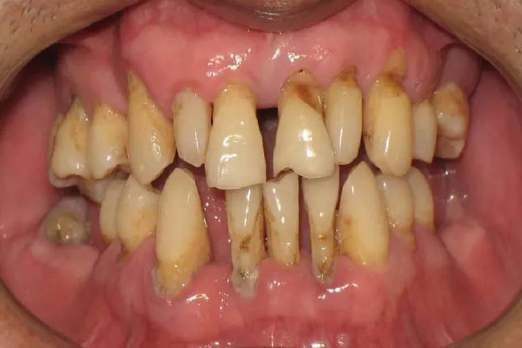
牙周炎图片

时间:2025-12-15 12:31:00 浏览:907次

牙周炎图片

牙周炎图片

牙周炎图片

牙菌斑是牙周炎的始动因素,牙石、食物嵌塞、局部创伤、解剖因素、口腔不良习惯、医源性因素是牙周炎的促进因素;

且不良的生活方式与环境、不健康的机体状态、个体遗传特征是牙周炎的危险因素。

标签:牙周炎,图片

相关文章

图片设计分享网站

图片设计分享网站

牙周炎的怎么治

牙周炎的怎么治

牙周炎的治疗方法有哪些

牙周炎的治疗方法有哪些

  • 1 牙周炎怎么治疗 814 阅读
  • 2 牙周炎是什么 853 阅读
  • 3 牙周炎可以治好吗 873 阅读
  • 4 图片里的男人丑吗? 916 阅读
  • 5 牙周炎是怎么引起的有问必答快速问医生 827 阅读

热门文章

  • 2015国剧盛典完整版高清版爱奇艺_2015国剧盛典完整版视频

    2015国剧盛典完整版高清版爱奇艺_2015国剧盛典完整版视频

    11-30 1018次
  • 今天是几九

    今天是几九

    11-29 967次
  • DJ OZMA为什么解散 DJ OZMA告别演唱会

    DJ OZMA为什么解散 DJ OZMA告别演唱会

    10-20 963次
  • 五指山发生地震概率是多少

    五指山发生地震概率是多少

    10-18 959次
  • 梁欢年轻时照片曝光  英达说第三任妻子梁欢的帮助最大

    梁欢年轻时照片曝光 英达说第三任妻子梁欢的帮助最大

    12-03 958次
  • 赵本山首位外籍女弟子私照曝光 曾获选美冠军

    赵本山首位外籍女弟子私照曝光 曾获选美冠军

    10-20 957次

推荐文章

快乐的一天作文

快乐的一天作文

橙子的功效与作用

橙子的功效与作用

减肥平台期一般什么时候会出现

减肥平台期一般什么时候会出现

姨妈过后几天是安全期

姨妈过后几天是安全期

熊伯涛的人物简介

熊伯涛的人物简介

何为预应力混凝土

何为预应力混凝土

虎皮鹦鹉一般吃什么蔬菜

虎皮鹦鹉一般吃什么蔬菜

北京同仁眼科手术价格,什么叫白内障?

北京同仁眼科手术价格,什么叫白内障?

喝红桃k生血剂有哪些禁忌

喝红桃k生血剂有哪些禁忌

杭州第三人民医院白癜风怎么样

杭州第三人民医院白癜风怎么样

五五AIGC,专注生活小窍门与百科知识问答的实用平台!这里有居家清洁、美食烹饪、收纳整理等海量实用技巧,也涵盖生活常识、健康养生等全场景问答。权威内容+易懂解析,无需繁琐查找,轻松解决生活难题,让生活更便捷高效!

CopyRight © 2025 网站地图 - 闽ICP备2025090153号-8 - 联系邮箱:1465333496@qq.com